来源:干细胞之父平台

“传统的卵巢癌治疗手段,以手术+化疗为主,当肿瘤取得缓解后即停止治疗,直到复发后再次治疗。”柳东妇科主任王鑫丹介绍,治疗后约70%的患者疾病会缓解,之后就会进入观察期,定期随访,不接受肿瘤治疗。这个时候,残余的肿瘤就会利用治疗的空窗期暗搓搓的复发。
然而随着复发次数的增加,周期越来越短和耐药的局面,最终陷入无药可用的困境。这种无奈的被动等待,给患者和家属带来了难以承受的心理及经济负担。
但是,近年来随着免疫细胞疗法的出现,卵巢癌的治疗出现了新的转机,生存率也在稳步提升。以日本为例,根据日本国立癌症研究中心的数据,卵巢癌的5年生存率已经达到65.3%,I期更是高达94%,挽救了无数卵巢癌患者的生命。
01.确诊卵巢癌晚期,经NK细胞治疗后成功切除
孙女士19年因出现腹胀前往医院检查,后通过妇科超声检查发现盆壁腹膜可见增厚,可见多处结节状凸起,最大约22*25*16mm,形态不规则。随后进行盆腔MRI检查发现:盆腔内左侧附件区多发囊实性占位、盆腔内多发腹膜转移征象。在经过PET-CT以及病理检测之后,最终确诊卵巢癌(IVB期),肠系膜淋巴结转移,脾脏、肝门转移。


鉴于孙女士目前的情况已经无法采用手术切除病灶,经过专家讨论,最终决定先行4周期的白蛋白紫杉醇+卡铂方案(白蛋白紫杉醇400mg d1+卡铂550mg d1,21天为1周期)。
但孙女士对化疗的耐受性很差,自从开始化疗,整日都昏昏沉沉的,身体使不上半点劲,头痛、吃不下饭、恶心呕吐,而且还出现了严重的骨髓抑制,血小板一路下降到15×10^9/L,白细胞也降至不到2000,血红蛋白则低于70g/L。对在对症治疗后白细胞数值逐渐恢复,但也严重紧张化疗进度和疗效,而孙女士本人也都对接下来的治疗也产生抗拒。
正当对接下来的治疗一筹莫展,不知道是否要继续接受治疗时,有病友建议孙女士或许可以通过细胞免疫疗法进行治疗。由于对该疗法不熟悉,孙女士及其家人查阅许多资料,并且咨询主治医生。医生也表示以孙女士目前的情况,采用细胞免疫疗法,或许有意想不到的效果,但由于当时医院并没有开展这项治疗,因此他们只能四处寻找这方面的专家。
很快他们便找到细胞免疫治疗的专家,并且安排了面诊。专家表示,由于孙女士当前出现多个转移病灶,加上对化疗的耐受性较差,因此建议先行NK细胞免疫疗法,通过细胞免疫治疗来激活恢复免疫系统,消杀体内的癌细胞,同时帮助身体恢复到正常状态。之后根据身体恢复情况,再行白蛋白紫杉醇+卡铂方案。
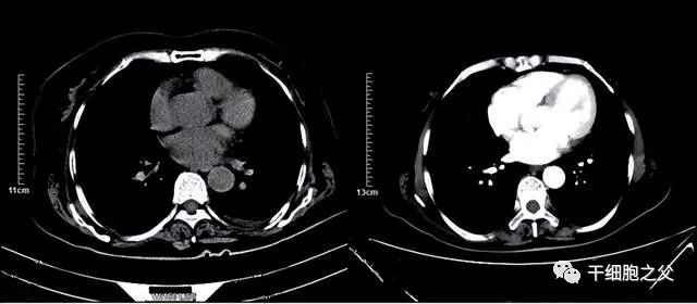
很快孙女士便开始了治疗,细胞免疫治疗过程比她意料中轻松很多,整个过程没有一丝痛苦,治疗后也没有任何不适。仅仅两周的时间,孙女士的身体情况就恢复了许多,能够正常行走,生活自理。CT显示肿瘤明显缩小。

在细胞免疫治疗两个月后孙女士再次进行了4个周期的化疗,期间并没有出现明显副作用。治疗结束后肿瘤标志物明显降低,增强CT显示病症进一步缩小。


考虑到孙女士当前的情况,医生在化疗结束后进行了行经腹全子宫+双附件切除术+Dixon术。术后诊断卵巢高级别腺癌IVB期、低蛋白血症、中度贫血。
术后为了防止肿瘤出现复发,孙女士进行了一个疗程的NK细胞免疫治疗+化疗,治疗后孙女士身体也恢复的很快,能够正常生活,期间定期复发,一切检查稳定,没有出现复发。
02,细胞免疫疗法为卵巢癌提供了新思路
随着肿瘤生物学和免疫学等基础学科的发展,以及对肿瘤发生、发展的进一步认识,细胞免疫疗法一直备受人们关注,其被认为是未来“治愈”癌症曙光。《科学》杂志也早于2013年将细胞免疫疗法列为当年科学十大突破之一,标志着癌症干预方法将彻底转变。国内专家亦表示,肿瘤免疫疗法将在未来掀起一场重大医疗革命。
其中NK细胞已经被广泛应用到癌症等疾病的临床治疗研究当中,发表于《Stem Cell Research & Therapy》的一篇综述详细介绍了NK 细胞的生物学特征,以及通过各种手段延长其寿命和增强抗癌功能。(NK细胞疗法,或将掀起免疫防癌抗癌新革命)

NK细胞(natural killer cell)也被称为自然杀伤细胞,能有效抑制和杀灭肿瘤细胞且无明显不良反应,可降低肿瘤复发及转移风险,提高患者自身免疫力及生活质量,且其安全性得到广泛认可。
与其他抗癌免疫细胞相比,如细胞毒性T细胞或树突状细胞,NK细胞杀灭肿瘤和病毒感染细胞的作用更强,更快,更有效。因为它的激活不依赖于肿瘤细胞表面抗原,也不需要像T细胞一样,要经过免疫系统的抗原辨识反应才确定“攻击”目标。NK细胞游弋在全身血管行使免疫监视功能,它能在第一时间发现并启动免疫防御功能,迅速杀死病变、癌变的细胞,因此被医学界公认为抗癌第一道防线。
该治疗主要是把患者身体中癌细胞和病毒等异物战斗免疫细胞从血液中取出,然后在实验室培养增加数量,再回输到体内恢复患者身体免疫力攻击肿瘤干预方法,从而打破患者免疫耐受和免疫抑制状态,达到延缓或减少肿瘤复发,提高肿瘤治愈率和患者生存率目的。
在过去的二十年中,自体免疫细胞疗法在癌症的治疗中越来越普遍。自体免疫细胞输注已被证明对癌症治疗是安全的,当与传统放疗,化疗或手术联合使用时,疗效提高约30%。细胞免疫疗法成功应用的关键方面是获得足够数量的免疫细胞,来根除肿瘤细胞并且不影响体内的其他细胞。
如今世界上多个国家已经批准免疫细胞疗法用于癌症治疗,而除了NK细胞之外,还出现了CIK细胞疗法、DC-CIK细胞免疫以及复合免疫细胞疗法。无数案例也在告诉我们,该方法不仅能够有效的扼杀癌细胞,还能够有效防治肿瘤复发转移,帮助无数癌症患者成功缩小消灭肿瘤,同时最大程度的查找清除体内的癌细胞,大大减少癌症复发转移概率,帮助诸多癌症晚期患者实现长期生存。
编辑:小果果,转载请注明出处:https://www.cells88.com/cells/myxb/30468.html
免责声明:本站所转载文章来源于其他平台,主要目的在于分享行业相关知识,传递当前最新资讯。图片、文章版权均属于原作者所有,如有侵权,请及时告知,我们会在24小时内删除相关信息。
说明:本站所发布的案例均摘录于文献,仅用于科普干细胞与再生医学相关知识,不作为医疗建议。

微信扫一扫
支付宝扫一扫