
脑卒中,俗称“中风”,指的是急性脑血管病,临床上分为缺血性卒中和出血性卒中,该病具有高发病率、高死亡率和高致残率的特点,是我国第一死亡病因,也是成年人致残第一大原因。给社会和家庭带来沉重的经济负担。
缺血性脑卒中是脑卒中的主要类型,发病后常伴随着不可逆转的神经功能损伤和组织坏死。由于干细胞具有多向分化潜能、旁分泌滋养能力和低免疫原性等优势,可促进细胞和组织再生,因此,干细胞疗法成为有望解决脑卒中问题的“新星”。
2021年12月,中国台湾莲慈济大学医学院就报道了一个干细胞治疗缺血性脑卒中患者的案例。这是一项I期临床试验,该名患者在接受治疗后,12个月内取得康复。具体研究结果已发表在《Cell Transplant》期刊上。


这项研究中,接受试验的是一名40岁的男性患者,有高血压和终末期肾病血液透析病史,因急性左侧偏瘫就诊于急诊科,经MRI检查及医生紧急评估诊断为右侧颅外段颈内动脉区域发生脑梗塞。
经过一系列的评估后,研究人员在患者脑卒中发生的第8天给患者静脉输注脐带血干细胞,治疗后在第1、3、6和12个月进行随访,评估NIHSS评分、神经功能和MRI结果。
相比成人外周血,人脐带血含有更丰富的造血原始细胞和数量众多的内皮原始细胞,在体外和体内均具有很强的复制能力。此外,也有研究表明,脐带血干细胞可增殖为神经细胞,在多种神经退行性疾病的治疗中可发挥重要的作用。
输注脐带血干细胞后,患者的神经功能逐渐改善,NIHSS评分从基线时的9分降低至1分(图1A)。此外,Berg平衡量表得分从0增加到48(图1B),Barthel指数得分从0增加到90(图1C)。

(注:NIHSS是用于评估卒中引起的功能损害程度。Berg平衡量表为对身体平衡功能评定的综合量表。Barthel指数是指对患者日常生活活动的功能状态进行测量)

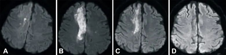
(从A到D:治疗前患者右侧放射冠有梗死,输注3个月后开始退散,6个月后消失)
值得注意的是,用于中风治疗的最佳干细胞数量尚未完全阐明,主要原因在于,一方面本研究的试验样本小,另一方面则与大脑存在血脑屏障有关,在本项研究中,尽管本案例患者使用的细胞计数为2.63亿,但在输注后30分钟使用甘露醇打开血脑屏障。因此,对于干细胞在中风疾病的治疗中,依然有很多问题有待解决。
尽管如此,这一案例中的患者康复情况令人印象深刻,该研究也初步证实,干细胞在脑卒中疾病治疗中的巨大潜力。

在clinicaltrials.gov中检索干细胞与脑卒中关键词,截至目前,相关的临床研究就有90项。
2019年,一项来自解放军总医院的干细胞I期临床研究,研究人员评估了人源神经干细胞NSI-566移植治疗慢性偏瘫性脑卒中的可行性和安全性(NSI-566是一种从单个流产胎儿脊髓组织中分离并进行表观遗传学扩增的原始人类神经干细胞系)。

在该项研究中,共纳入9名年龄在30-65岁的偏瘫患者,他们在中风后的5-24个月接受干细胞治疗。试验组患者被分成三组,每组分别输注1200万、2400万和7200万个细胞。
结果表明,在24个月的随访中,所有试验参与者均表现良好,9名患者大脑空腔都被新的神经组织形成所填充,且所有剂量的治疗都具有良好的耐受性。尽管这是一项小型的单臂可行性研究,但结果令人鼓舞,值得进一步研究。
2021年6月,一项发表在《Stem Cells》上的美国Ochsner-LSU健康科学中心的临床研究报告显示,基于干细胞的疗法似乎是治疗缺血性中风的有效选择。干细胞除了可以分化成神经细胞外,干细胞还通过旁分泌信号通路提供急性保护,通过旁分泌信号通路释放神经保护因子,该机制对减轻脑卒中的损伤和改善神经功能障碍具有良好的保护作用。

去年1月,一项发表在《Randomized Controlled Trial》上的关于间充质干细胞与缺血性脑卒中患者运动恢复功能的研究表明,使用干细胞治疗的试验组,在运动功能方面,改善率明显高于对照组。

近几年来,干细胞在脑卒中的临床应用上相对较多,该治疗手段也在许多试验中表现出巨大的前景。
2019年9月,中国台湾卫生福利部正式发布《特定医疗技术检查检验医疗仪器施行或使用管理办法修正条文》,在该条文中,开放了自体骨髓间充质干细胞移植治疗慢性缺血性脑中风的临床应用。这意味着干细胞在脑卒中治疗上的一大进展。
随着更多临床试验的进展,相信人类离彻底解决脑卒中等疾病更进一步。
【参考资料】
编辑:小果果,转载请注明出处:https://www.cells88.com/cells/gxb/36220.html
免责声明:本站所转载文章来源于其他平台,主要目的在于分享行业相关知识,传递当前最新资讯。图片、文章版权均属于原作者所有,如有侵权,请及时告知,我们会在24小时内删除相关信息。
说明:本站所发布的案例均摘录于文献,仅用于科普干细胞与再生医学相关知识,不作为医疗建议。

微信扫一扫
支付宝扫一扫