一般肝癌术后三年的复发率约为40%-50%,术后五年的复发率则在60%-70%。此外,已发生周围扩散者,5年生存率为11%;而发生远处转移者,5年生存率仅为2%,如何提高复发转移晚期肝癌患者的生存获益俨然成为临床医师和患者所共同面临的严峻挑战。

01.肝癌术后复发伴肺部转移,细胞免疫疗法成功消除肿瘤


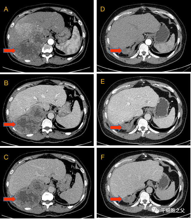
治疗前(A、B、C)和治疗54周后(D、E、F)上腹部增强CT对比


02.细胞免疫疗法,消除病灶,减少癌症复发概率
编辑:小果果,转载请注明出处:https://www.cells88.com/cells/myxb/30647.html
免责声明:本站所转载文章来源于其他平台,主要目的在于分享行业相关知识,传递当前最新资讯。图片、文章版权均属于原作者所有,如有侵权,请及时告知,我们会在24小时内删除相关信息。
说明:本站所发布的案例均摘录于文献,仅用于科普干细胞与再生医学相关知识,不作为医疗建议。